Eroziunea, atritia si abrazia dentara
Eroziune dentara
Abrazie dentara
Atritie dentara
In cadrul examenului clinic intraoral sunt evidentiate si modificarile de integritate dentara prin uzura.
- Atritia reprezinta uzura fiziologica a dintilor prin pierderea structurii dure dentare, la nivel incizal si ocluzal, produsa in timpul functionalitatii sistemului stomatognat. Absenta atritiei se considera ca fiind semn de blocaj ocluzal si poate fi intalnita frecvent in cadrul anomaliilor dento-maxilare, ce modifica parametrii morfologici ai ocluziei.
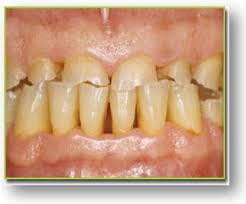
- Eroziunea este un proces de dezintregrare chimica superficiala a substantelor dure dentare, cauzata de contactul cu substantele acide.
Acest proces poate fi provocat de expunerea la mediu acid(industria chimica) si se localizeaza la nivelul fetei vestibulare a dintilor superiori si inferiori, descreste ca intensitate spre zonele laterale(apare mai rar la nivelul molarilor).
Eroziunea se poate instala si la bolnavii ce prezinta regurgitatii repetate sau stari cronice de voma si se intaleaza pe fetele orale ale dintilor frontali mandibulari. De asemenea, apare si in cazul bolnavilor care iau medicamente ce contin acid clorhidric in doze terapeutice.
Eroziunea se poate instala si la cei care prezinta in cadrul obiceiurilor alimentare si consumul excesiv de citrice, sucuri acidulate:
· cei care mesteca lamaia – eroziunea apare pe zonele linguale ale dintilor;
· cei care sug lamaia – eroziunea se instaleaza pe fetele vestibulare ale dintilor;
Eroziunea se prezinta ca o ”patare” a dintilor prin decalcificarea smaltului, fara pierderea conturului morfologic, ci numai a luciului(este un semn de decalcifiere) si dintele are un aspect asemanator cu dintele gravat pentru obturatie cu materiale compozite. Apare ca simptom durerea la contact.
Eroziunea chimica este greu de diferentiat de cea mecanica, produsa prin periajul intempestiv(este unilaterala).
Eroziunea idiopatica reprezinta distrugerea smaltului fara o cauza cunoscuta.
Miloliza reprezinta un proces distructiv lent, la nivelul smaltului, cu pierderea de substanta, in special la colet, sub forma de escavatii.
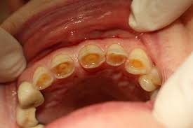
- Abrazia este diferita de atritie si reprezinta uzura patologica sau pierderea lenta de substante dure dentare, provocata de:
· frictiunea cu corpuri straine, altele decat alimentele;
· parafunctii;
· obiceiuri vicioase;
· ticuri profesionale:
Ø interpozitia cuielor sau a acelor de cusut la tapiteri, cizmari si croitori;
Ø instrumente de suflat;
Ø fumatul pipei;
Ø deschidera sticlelor cu dintii;
Ø consum exagerat de seminte;
Ø roaderea unghiilor(onicofagie);
Abrazia poate fi localizata in anumite zone: vestibulara, linguala, proximala sau generalizata. Acest tip de abrazie apare la:
· abuzul de scobitori;
· excesul de flossing, conuri interdentare.
Alta cauza de abrazie este reprezentata de lucrarile protetice incorecte din aliaje dure, cu duritate mai mare decat cea a smaltului.
Abrazia de origine etnica este in functie de obiceiurile locale specifice si se prezinta ca:
· uzura dintilor la cei care utilizeaza alimentele dure sau decalcifiante(mestecatul betelului) – uzura apare la nivelul grupelor frontale maxilare si mandibulare;
· abrazia dintilor in scopuri estetice(la grupurile etnice din jurul golfului Tonkin);
· abrazia datorata nisipului la populatiile din desert;
· abrazia la cei care mesteca tutun;
· abrazia la geofagi(mananca turte cu pamant).
Ackermann descrie abraziunea elicoidala localizata la nivelul grupului molar si intereseaza cuspizii vestibulari ai primului molar mandibular, cuspizii orali ai molarului al doilea mandibular si cuspizii vestibulari ai molarului de minte mandibular, avand aspect de elice(helicoidul lui Ackermann).
Se mai intalneste o forma clinica de abraziune ad palatum, localizata pe fata palatinala a dintilor frontali maxilari. Inaltimea dintilor nu este modificata dar se reduce grosimea vestibulo-orala la nivelul fetei palatinale care prezinta fatete sau concavitati de uzura cu extensie pana spre colet. Astfel se produce modificarea pantei retro-incisive a ghidajului anterior cu limitarea sau pierderea acestuia in timp.
Gradul de abraziune este un indice important din punct de vedere clinico-biologic. Diferitele stadii ale abraziei au fost clasificate astfel:
· gradul – I – afecteaza doar stratul de smalt;
· gradul – II – aparitia unor insule de dentina;
· gradul – III – intre insulele de dentina apar punti de unire tot in dentina;
· gradul – IV– dentina apare uniforma pe o suprafata intinsa, fiind delimitata la exterior de un inel de smalt;
· gradul – V – deschidera camerei pulpare;
Punctul de aplicare a fortelor ocluzale traumatogene este reprezentat de coroana dentara si urmarile traumei ocluzale este natural sa fie prezente si la nivelul dintelui.
Astfel, uzura dintilor mai intensa pe anumite zone ale coroanei dentare poate constitui un simptom al traumatismului ocluzal. Fatetele de abraziune care apar pot avea un traseu vertical, orizontal sau oblic, fapt ce indica frecventa predominanta a unor miscari in raport cu contactul dentar, in raport cu altele. Gradul de abraziune si localizarea sa la anumite grupuri dentare ne ofera indicatii asupra zonei traumatizate excesiv. Abraziunea localizata poate determina modificari ale rapoartelor cranio-mandibulare prin bascularea mandibulei, in timp ce abraziunea generalizata poate determina scaderea dimensiunii verticale.
De asemeni, uzura dentara mai poate determina, la nivelul unitatilor odonto-parodontale, aparitia durerii dentare cu intensitati variabile si localizari mai mult sau mai putin localizate. In urma abraziunii produse prin interferenta ocluzala, parafunctii, descoperirea dentinei se produc hiperestezia dentinara sau afectiuni pulpare, incepand cu hiperemia si mergand pana la necroza pulpara.
Abraziunea dentara este un semn al capacitatii de adaptare si rezistenta a tesuturilor parodontale la stress-ul ocluzal.
Absenta fatetelor de uzura la subiectii ce au depasit varsta de 25-30 ani trebuie considerata ca un factor traumatogen ce actionaeza asupra parodontiului.
S–a demonstrat ca trauma ocluzala este favorizanta instalarii parodontopatiei marginale. Clinic parodontiul afectat de trauma ocluzala isi manifesta suferinta prin durere, cresterea mobilitatii , recesiune parodontala, sangerare, modificari cantitative si calitative ale fluidului gingival.
Durerea parodontala apare fie ca urmare a depasirii pragului dureros al receptorilor parodontale in urma unui traumatism ocluzal intens(bruxism), fie ca urmare a solicitarilor repetate ale tesuturilor de sustinere. Aceasta durere parodontala poate fi localizata la un singur dinte, la un grup dentar sau la o arcada intreaga. Intensitatea sa este variabila in functie de intensitatea, durata si frecventa traumei, dar poate si iradia de la distanta sau din zonele invecinate. De cele mai multe ori apare prin inclestarea arcadelor.
In prezent este acceptat faptul ca un parodontiu afectat de trauma ocluzala prezinta modificari structurale si metabolice ce creeaza conditii favorabile instalarii unei infectii microbiene, cu transformarea inevitabila intr-o parodontita marginala cronica.
Cand traumatismul ocluzal actioneaza asupra unui parodontiu deja afectat de o parodontopatie marginala cronica, atunci el are un efect agravant asupra evolutiei bolii, accentuand resorbtia osoasa, liza ligamentelor parodontale si alunecarea insertiei epiteliale.
O alta modificare determinata de trauma ocluzala este reprezentata de recesiunea parodontala. Recesiunea se poate insoti uneori de ingrosari ale festonului gingival sub forma de burelet(bureletul lui McCall) sau poate fi o recesiune avansata la nivelul festonului gingival in forma de V cu laturile foarte inchise, asociata cu inflamatia gingivala(fisurile Stillmann).
Prin abraziunea dentara are loc transmiterea paraaxiala a fortelor ocluzale ce produce resorbtii si apozitii inegale la nivelul osului olveolar care au ca urmare migrarea dintelui spre spatiul edentat(fenomenul Godon). Uneori fatetele de abraziune la nivelul acestor dinti indica zona coronara in care s-au aplicat cu precadere fortele traumatice ocluzale producand deplasarea dintilor.
Abraziunea determina aparitia intr-o prima faza a fatetelor de uzura, care sunt suprafete netede, lucioase, localizate la nivelul smaltului, cu o anumita orientare determinata de aparitia contactului prematur sau a interferentei ocluzale.Fiecare fateta isi are corespondentul sau pe dintele antagonist, iar analiza orientarii permite aprecierea directiei in care mandibula deviaza pentru a ocoli contactul prematur respectiv.
Contactul ocluzal prematur apare in ocluzia statica (la sfarsitul traiectoriei terminale de ocluzie), sau in ocluzie dinamica atunci cand interfereaza traiectoria de miscare mandibulara cu contact dentar.
Contactul prematur este totdeauna traumatogen pentru elementele sistemului stomatognat. Capacitatea traumatogena a unui punct de contact depinde de mai multi factori, cum ar fi – localizarea si marimea punctului de contact, starea suprafetelor in contact. Cu cat un punct de contact este mai intins in suprafata, cu atat forta de crestere, si, o data cu ea, si potentialul sau patogen. Un punct de contact redus ca suprafata, dar realizat intre doua suprafete rugoase, poate fi tot atat sau chiar mai traumatogen decat un punct de contact intins pe o suprafata bine lustruita, datorita coeficientului de frecare crescut. Prezenta unor contacte de ocluzie restranse creeaza ceea ce se numeste o instabilitate ocluzala care se soldeaza cu contractia diverselor grupuri musculare, in scopul de a gasi mandibulei o pozitie cu contacte multiple, stabilizand astfel rapoartele celor doua arcade.
Chiar in absenta interferentelor in relatie centrica, versantele cuspidiene pot interfera cu miscarile functionale, dintii vor suporta presiuni parafunctionale ce vor fi la originea abraziei, a mobilitatii sau migrarii dentare pana la eliminarea interferentei.
Schimbarea tiparului de dinamica mandibulara determina contractii musculare asimetrice, dezechilibrate si solicitare de asemeni asimetrica a celor doua articulatii temporo-mandibulare.
Abrazia dentara determina pierderea succesiva a straturilor de smalt care numai suporta procese reparatorii.La nivelul dentinei care se abrazeaza au loc mecanisme protective care permit depunerea de dentina secundara si reparatorie (neregulata) pentru a preveni expunerea pulpei dentare.Traumatizarea constanta a dentinei duce la formarea dentinei sclerotice caracterizata prin calcificarea tubulilor dentinari si obliterarea lor.
Sursa:
1. Gnatologie – V.Burlui, C. Morarasu
2. Semiologie stomatologica – M. Ursache, V. Burlui
